Vrijdag begon het plots met hevige buikpijn en bloedverlies. Op spoed wees een bloedtest uit dat ik zwanger was. We waren compleet overdonderd en wisten niet wat we mochten verwachten, al voelde ik diep vanbinnen dat zoveel bloeden niet oké was.
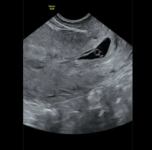
Zaterdag volgde de echo. Daar was het dan: 5,5 weken, maar nog geen hartslag. Op de echo was al te zien dat de miskraam al bezig was.
Woensdag volgt een nieuwe echo om te kijken of alles vanzelf verdwenen is. En toch… ergens diep vanbinnen leeft er nog hoop. Hoop dat het misschien toch gegroeid is, dat er plots wél een hartslag te zien zal zijn. Ik weet dat dit niet realistisch is, maar alles is zo snel gegaan dat mijn hoofd en hart niet kunnen volgen. Het voelt allemaal zo surrealistisch.
Gelukkig heb ik het liefste lief van de wereld. We praten veel, we vangen elkaar op. En toch zijn er momenten waarop de tranen ineens komen, zonder waarschuwing. Ik probeer mezelf bezig te houden, mezelf af te leiden, maar mijn focus is ver te zoeken. Ik heb geen zin om thuis te zitten, maar ook geen zin om iets te doen. Ik voel me verloren, alsof ik nergens echt hoor. Iets waar ik zo lang naar verlangde, iets waarvan ik dacht dat ik het had losgelaten, kwam ineens als een klap in mijn gezicht… en werd even snel weer afgenomen.
Jarenlang lag ik wakker met de wens om mama te worden. De tijd tikte, ik werd ouder, en uiteindelijk koos ik voor mezelf. Ik begon opnieuw, met het idee dat ik misschien ooit iemand zou tegenkomen die datzelfde wou. Omdat ik zo lang alleen was en de jaren voorbijvlogen, borg ik die droom op. Ik maakte mezelf wijs dat het iets was voor een volgend leven, dat het in dit leven niet voor mij zou zijn.
Tot ik mijn lief tegenkwam, die het eigenlijk ook misschien wel wil. Stilletjes begon ik opnieuw te hopen, al was ik voorzichtig. Bang om te veel hoop te hebben, bang om die droom opnieuw te moeten opbergen. We hebben er veel gesprekken over gehad. Het was nooit volledig uitgesloten, maar ook nooit helemaal concreet. Soms maakten we grapjes over “volgend jaar” of “ergens dit jaar”, al wist ik niet altijd hoe serieus dat bedoeld was.
Wat er dit weekend gebeurd is, heeft me harder geraakt dan ik wil toegeven. Is dit een teken? Een duidelijke boodschap dat dit niet voor mij weggelegd is? Of net een duwtje om nu écht die gesprekken te voeren, omdat de klok tikt? Ik weet niet meer wat ik moet denken.
Morgen weten we misschien meer, en kan het misschien afgesloten worden als blijkt dat alles uit mijn lichaam verdwenen is. Volgende week ben ik nog een week thuis van het werk. Ik heb geen zin om mensen te zien, maar ook geen zin om alleen te zijn wanneer mijn lief gaat werken. Ik voel me verdwaald in mijn eigen leven.
De mooiste momenten nu zijn de knuffels, de kleine momenten samen. Al is het soms moeilijk om mijn tranen tegen te houden. En als ik ze laat komen, voel ik ze branden op mijn wangen. Misschien wil ik gewoon een duidelijk antwoord. Ga ik ooit mama worden? Wanneer dan? Iets om naar uit te kijken, een termijn, houvast… zonder egoïstisch te willen zijn.
Ik weet dat we hierover kunnen praten, en dat doen we ook. Maar ik wil het onderwerp ook niet constant naar boven halen. Soms wil ik gewoon even zijn. Met alles wat ik voel, met alles wat ik nog niet begrijp.
De wens om mama te worden leeft nog steeds, sterker dan ik dacht. Het verlies raakt dieper omdat het iets wakker maakt wat ik dacht te hebben losgelaten. Nu sta ik op een kruispunt: tussen loslaten en durven hopen, tussen accepteren en opnieuw durven dromen.